Dental Implants in Charlotte

If you have a missing tooth that's impacting your comfort or confidence, a dental implant could be your solution.

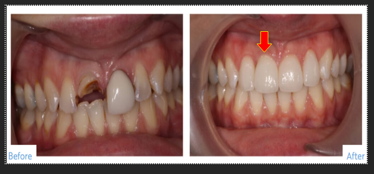
Dental implants have had a considerable impact on modern dentistry – offering a highly viable solution to replacing missing teeth.

Dental Implants in Charlotte

Top Rated Implant Dentist in Charlotte

A dental implant is essentially an artificial tooth that is placed, or implanted, into your jaw where a dental crown is then capped on for a complete tooth that looks and even feels like a real tooth. The best part is that the new replacement tooth will function as seamlessly as your regular tooth.

Implant Dentist in Charlotte

Dental implants can replace:

  • A single tooth
  • Multiple teeth
  • All of your teeth (implant dentures)

Dental implants benefit you by:

  • Preventing teeth from shifting to close the gap caused by a missing tooth
  • Preserving bone and stability for your teeth
  • Enhancing the appearance of your smile

Start your Dental Implants Treatment in Charlotte, NC

Reasons you should consider getting a dental implant:

Looking for Dental Implants in Charlotte?

To find out whether or not you are a good candidate for dental implants, please call us at 980-423-1266 for more information.


Dentistry at South End Special Offer

$179 New Patient Special*

Includes Cleaning, Exam, & X-Ray
*This offer is for new patients without insurance and in absence of periodontal disease.

Dentistry at South End Special Offer

$50 Emergency Special*

Includes Exam & X-Ray.
*New patients only.

Dentistry at South End Special Offer

$100 Wisdom Teeth Exam*

Includes Panoramic X-Ray
*This offer is for new patients only.

Dentistry at South End Special Offer

FREE Dental Implant Consultation*

*This offer is for new patients only.